서울스마트치과

디지털 임플란트

오차없이 정밀한 식립, 스마트 임플란트

임플란트 치료를 시행하는 치과는 많지만, 어느 의료진에게 치료를 받느냐에 따라
치료의 안정성과 장기적인 구강 건강에 차이가 날 수 있습니다.

서울스마트치과는 타병원 치료 이후 어려움을 겪은 경우나 전신질환을 동반한 환자분들의
임플란트 수술도 충분한 진단과 체계적인 관리 하에 진행하고 있습니다.

수면마취 임플란트

편안하게, 자고 일어나면 임플란트 시술이 끝나 있습니다.

치과치료에 있어 가장 겁나는 치료는 임플란트 시술이라 생각됩니다.
자연치아 결손에 따라, 자연치아를 대체하는 임플란트 시술은 시기를 놓칠 경우,
주위 조직에 더 큰 문제를 초래할 수 있어 골든 타임이 중요합니다.
더 이상, 통증과 무서운 소리 때문에 임플란트 골든 타임을 놓치지 마세요!

통증이 두려워서 임플란트를 망설인다면,수면 임플란트를 추천드립니다!

서울스마트치과는 잠을 자는 듯한 가수면 상태에서 받는 의식하진정법 치료를 통해
통증 · 공포 · 불안감 및 갑작스러운 움직임을 방지하여 편안하고 안전한 수술이 가능합니다.

산소포화도 모니터링 장비

Brio x 30

수술실 무영등

Luvis L400

의료용 산소통

응급 장비

당일 치료받는 원데이 임플란트

치아가 없어 불편하셨던 분들을 위해 통증없이 시술 당일 바로 임시치아 부착으로
간단한 식사를 하실 수 있으며 일상생활로 바로 복귀가 가능합니다.

Step 03

네비게이션 임플란트

0.1mm의 오차 없이, 계획된 위치에 임플란트를 식립합니다.

네비게이션 임플란트(=가이드 수술)은 3D CT를 통해 환자의 구강 내 환경을 정확하게 정밀진단 하여
계획된 위치에 미리 임플란트를 심어 어떤 결과를 얻어낼 수 있는지 컴퓨터 화면에서 시뮬레이션을 할 수 있는 시스템으로

실제 수술 전 구강상태 그대로 모의 수술 과정을 직접 확인할 수 있어 여러 개의 임플란트도 안정적으로 식립할 수 있습니다.

Step 04

전악 임플란트

치아가 전혀 없거나 소수일 경우, 임플란트를 이용하여 전체 치아를 복원해주는 시술입니다.

자연치아는 위/아래 14개씩 모두 28개가 존재합니다.
자연치아가 상실될 경우, 본래의 치아처럼 회복하기 위해 다수의 임플란트를 식립해야 합니다.
전악 임플란트는 큰 범위의 시술인 만큼 많은 수술 경험으로 기술과 노하우가 필요합니다.

Step 05

뼈이식 임플란트

치아가 상실된 채 장기간 방치되거나 잇몸 질환으로 잇몸뼈가 녹아내린 경우,
뼈의 양이 부족하여 임플란트 식립이 어려울 수 있습니다.
뼈이식 임플란트는 약하고 부족해진 잇몸뼈를 뼈이식재로 보강하여 임플란트를 식립하는 방법입니다.

Step 06

임플란트 재수술

임플란트 수술, 재실패는 없어야 합니다.

임플란트 실패에는 임플란트 주위염, 픽스처 문제, 보철물 문제 등 다양한 원인이 있습니다.
신경손상과 염증없이 안전한 재수술을 위해서는 첫 시술보다 더욱 섬세하고 전문적인 접근으로
정확한 정밀검사와 충분한 의료진 상담을 받은 후 내 치아에 적합한 방법으로 진행해야 합니다.

Step 07

보험 임플란트

보험 임플란트는 2016년 7월부터 시행되어 만 65세 이상의 분들께
임플란트 시술 건강보험 적용으로 비용 부담을 줄이고 치아건강을 회복할 수 있는 제도입니다.

임플란트는 기능적, 심미적으로 자연치아와 유사한 효과를 기대할 수 있지만 비용이 부담되는 단점이 있었습니다.
건강보험 확대를 통해 65세 이상 환자분들은 치과치료의 경제적 부담을 줄일 수 있게 되었습니다.
서울스마트치과는 보험진료에 대한 상세한 상담과 안내를 도와드리고 있습니다.

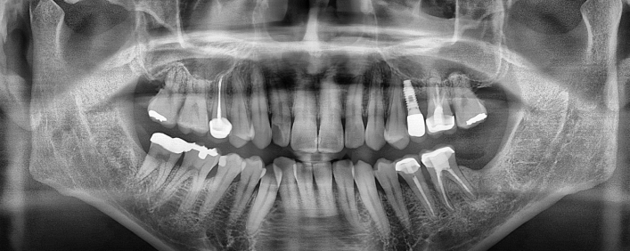
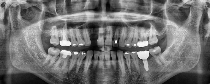
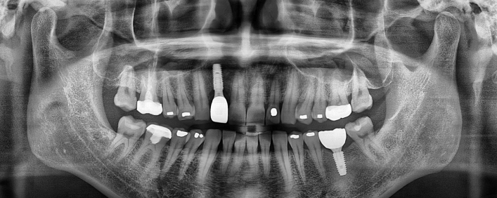
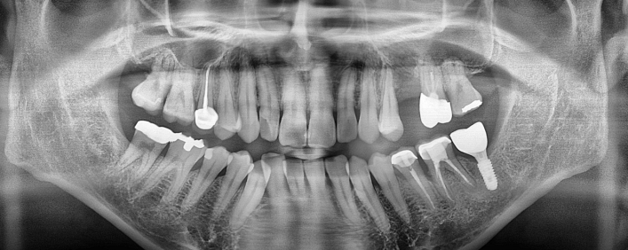
임플란트 치료사례

서울스마트치과는 결과로 증명합니다.

위 치료 사례는 서울스마트치과에서>직접 치료를 받고, 환자 본인의 동의를 얻어 게재된 사진으로 무단 인용, 도용, 재배포 시 민/형사상 책임을 질 수 있습니다.

위 치료 사례는 서울스마트치과에서 직접 치료를 받고, 환자 본인의 동의를 얻어 게재된 사진으로 무단 인용, 도용, 재배포 시 민/형사상 책임을 질 수 있습니다.

위 치료 사례는 서울스마트치과에서 직접 치료를 받고, 환자 본인의 동의를 얻어 게재된 사진으로 무단 인용, 도용, 재배포 시 민/형사상 책임을 질 수 있습니다.

위 치료 사례는 서울스마트치과에서 직접 치료를 받고, 환자 본인의 동의를 얻어 게재된 사진으로 무단 인용, 도용, 재배포 시 민/형사상 책임을 질 수 있습니다.

Step 08

서울스마트치과의 임플란트, 치료가 끝이 아닙니다.

임플란트 시술을 받았는데,
다니던 치과가 없어지셨나요?

다양한 재료 라인업으로, A/S 걱정 NO!
지대주와 보철 A/S가 자유롭습니다.

뼈가 안 좋아,
임플란트가 실패 될까 걱정이신가요?

최고급 뼈이식재, 항생제, PDRN을 사용하여
수술 성공률 UP, 장기 예후성 UP!

품질 좋은 재료를
사용하는 곳을 찾으시나요?

국산부터 외산까지, 검증된 임플란트 및 재료만 사용
(스트라우만, 오스템, 메가젠, 디오, 아스트라 픽스처)

수술 후,
잘 치료 되었는지 확인하고 싶으신가요?

내 수술 결과가 담긴 리포트를 드립니다.

임플란트 주의사항

지혈

수술 후 지혈을 위해 거즈를 꽉 물어주세요.
(물고 있던 거즈는 1시간 후 뱉어주세요.)

처방약 복용

처방된 약을 시간에 맞추어
복용해주세요.

압력 주의

피가 더 날 수 있기 때문에 침을 뱉거나 빨대 사용을
지양해주시고 코를 풀지 말아주세요.

음주, 흡연 삼가

수술 후 일주일간은 회복을 방해하는
음주, 흡연을 절대 삼가해주세요.

통증 감소

수술 부위의 통증과 부종을 줄이기 위해
의사 지도하에 냉찜질을 해주세요.

심한 통증

수술 후 심한 통증과 출혈 발생 시,
치과에 연락하고 내원해주세요.

심한 운동 지양

수술 후 일주일간은 사우나, 찜질방, 반신욕,
과격한 운동 등은 삼가해 주세요.

유동식 섭취

수술 후 2-3일 정도는 수술 반대 부위로 유동식을
드시고, 베개도 높은 것을 사용해주세요.

칫솔질, 가글

수술 부위가 닿지 않도록 조심하여 칫솔질을
해주시고, 입안 소독액으로 가글해주세요.