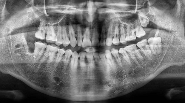
박** 환자분 (오른쪽 상하악 사랑니 동시 발치 케이스)
상악의 경우 단순매복으로 발치 및 동시에 하악 잇몸뼈에
깊게 박혀잇는 고난이도 케이스, 잇몸절개 후 치아 분리하여
발치하였으며
해당환자 치과공포증이 있으셨으나 본원 수면치료 병행하여 편안한
수술 진행되어 만족하심
