서울스마트치과

미세현미경 신경치료

우리 치아 1개의 가치는 3,000만원이 넘는다고 합니다.
악어처럼 재생이 되지 않는 우리 치아, 보존이 가장 중요합니다.

서울스마트치과는 보존 가능성이
단 1%라도 있다면 치아 보존을 우선시합니다.

소중한 치아, 그냥 뽑지 마세요!

서울스마트치과에서는 깊고 좁은 치아 신경의 위치,
눈으로는 인지하기 어려운 치아 신경의 상태를

25배 확대되는 미세현미경을 통해 더 정확하고 정교하게 확인할 수 있습니다.

미세 현미경을 사용한 신경치료

신경치료, 이런 상황에서 필요합니다.

치아 뿌리 주변에
염증이 생긴 경우
충치가 광범위하게 퍼져
신경 조직에 영향을 끼쳤을 경우
제 기능을 하지 못하는
치아의 수명 연장이 필요한 경우

서울스마트치과는 보이지 않는 치아 내부까지

치과보존과 전문의가 눈으로 직접 보고 치료합니다.

극소수의 치과에서만 사용하는 대학 병원급 장비

25배 확대 미세현미경

25배 확대를 통해 육안으로 보이지 않는 곳까지 정밀하게 진단하고 안전하게 치료합니다.

맨눈 vs 확대경(루페) vs 미세현미경

서울스마트치과에서는 25배 확대 가능한 미세현미경을 사용하여 신경치료의 성공률을 높이고 있습니다.

01미세현미경 정밀진단

미세현미경 정밀 진단은 육안으로 보이지 않는 곳까지
정확하게 볼 수 있어 더욱 정밀한 진단이 가능한 치료로
더 큰 치료가 되기 전 예방이 가능합니다.

02고난이도 정밀 신경치료

고난이도 케이스의 신경치료의 경우,
미세균열, 신경관 등을 정밀하게 찾아 진단 후 치료해야 합니다.
자연치아를 최대한 살릴 수 있도록 정밀 치료와 미세수술을 통해
고난이도 케이스의 신경치료를 시행합니다.

어렵고 까다로운 재신경치료까지,
믿을 수 있는 곳에서 받는 것이 중요합니다.

복잡한 신경관 구조로, 1차 치료 시 완벽하게
제거되지 않아 세균으로 인한 염증 재발의 경우
1차 신경치료 시 채워 넣은
충전물에 이상이 발생한 경우
신경관이 막힌 경우

서울스마트치과는 마지막까지 자연치아를 포기하지 않습니다!

과거 신경치료가 제대로 되지 않았거나, 염증의 재발 등 2차 문제가 발생했을 때는
'재신경치료'를 통해 치아를 다시 한 번 살려볼 수 있습니다.

실패한 신경치료 재치료,
타병원 진료의뢰서

서울스마트치과는 타병원에서 살리기 어려워
실패한 신경치료의 경우, 진료의뢰서를 통해 재방문을 해주신
여러 환자분들의 신경치료를 지속적으로 성공해오고 있습니다.

서울스마트치과의 단계별 신경치료

감염 치수 확인

검사를 통해 감염된 치수를
확인합니다.

치수제거

오염된 치수를 제거하고
세척 및 소독을 합니다.

신경관 충전

비어있는 신경관 내부를
인체에 무해한 재료로 채워줍니다.

보철물 제작

보철물을 제작 후
치아에 부착합니다.

자연치아를 살릴 수 있는 마지막 방법,

치근단 절제술

자연치아만큼 좋은 대체치아는 없습니다. 영구치가 나온 뒤에는 더 이상 새로운 치아가 나오지 않습니다.
임플란트와 같은 인공 치아가 대체할 수 있지만, 자연치아만큼의 기능과 느낌을 다할 수 없기 때문에,
자연치아를 최대한 오래 유지하고 사용하는 것이 매우 중요합니다.

서울스마트치과는 치아 뿌리의 염증을 잘라내어 치아를 회복시키는 '치근단 절제술'을 통해
환자분들의 자연치아를 살리기 위해 노력합니다.

서울스마트치과의 치근단 절제술 치료 과정

대학병원과 동일한 장비, 치료 방법으로 소중한 자연치아를 살립니다.

염증이 있는 치아 뿌리 지점을 X-RAY와
3D CT 촬영을 통해 정확히 판단합니다.

잇몸을 절개해 치아 뿌리와 치조골 부위의 염증 조직을
함께 제거합니다.

감염된 치아 뿌리의 끝부분을 잘라내고 소독합니다.

치아뿌리를 생체친화적인 치과용 재료나 MTA로 채워
세균감염을 막습니다.

잇몸뼈가 부족한 경우 추가 골 이식재로 충전합니다.

절개한 잇몸을 봉합해 치료를 완료합니다.

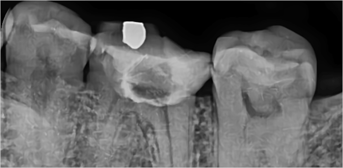
미세현미경 신경치료 치료사례

서울스마트치과는 결과로 증명합니다.

김** 환자분 (신경치료 진행 후 지르크라운으로 치료)

왼쪽아래 어금니 통증으로 방문,
보철물 제거 후 확인해보니 남은 치질이 별로 없어 post 추가 및 신경치료 진행 후 지르크라운으로 치료

위 치료 사례는 서울스마트치과에서 직접 치료를 받고, 환자 본인의 동의를 얻어 게재된 사진으로 무단 인용, 도용, 재배포 시 민/형사상 책임을 질 수 있습니다.

신경치료 주의사항

강도

치아가 약해져 있으므로 단단한 것은
씹지 않도록 주의합니다.

통증

일시적 통증이 있는 경우,
진통제나 항생제를 복용합니다.

청결

치료 중인 치아의 청결 유지 관리가
중요합니다. (조심스러운 칫솔질, 가글)

음식 섭취

치료가 끝난 후 2-3주간 씹을 때
불편감이 있으실 수 있습니다.

충격

치료받은 치아는 충격에 약해지므로
보호를 위해 크라운치료가 필요합니다.

음주, 흡연 삼가

수술 후 일주일간은 회복을 방해하는
음주, 흡연을 절대 삼가해주세요.